“来人呀!有人倒了!”
7月11日上午9点,烈日炙烤着大地,62岁的王大叔拎着刚买的菜朝家赶,走到小区门口突然步伐踉跄,随后一头栽倒在地。他的右手紧紧攥着菜篮,左侧身体却像被抽去筋骨般瘫软。这惊险一幕被邻居发现,立即拨打120将他送往我院。一场与死神的赛跑,在高温酷暑中拉开了序幕。
高温+基础病:买菜路上的致命危机
王大叔是一名退休工人,有8年高血压病史,但自认为“身体硬朗”,常常漏服降压药。当天他顶着35℃的高温出门买菜,回家途中因脱水和血压波动突发脑出血。急诊医生接诊时,他已陷入浅昏迷,左侧肢体瘫痪,血压飙升至190/105mmHg。
黄金3小时的生死竞速

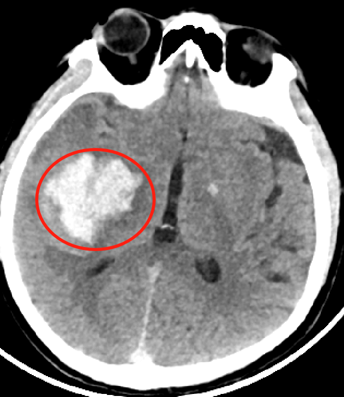
CT影像下可见脑部明显血肿
王大叔抵达我院时,急诊绿色通道已经开启。放射科迅速完成头颅CT,显示“右侧基底节区脑出血,出血量约40ml”。神经外科、急诊科、麻醉科专家同步到位,制定血肿清除手术方案。
术中,神经外科主任夏永利带领手术团队,全程严格保护正常脑组织,结合神经显微镜技术精准清除血肿,术末充分降低颅内压力。

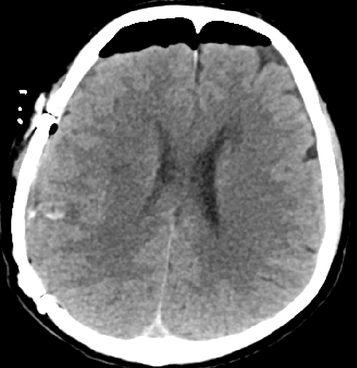
影像复查显示脑内血肿基本消失
术后第2天,王大叔意识恢复;第5天可自主进食;经过一段时间的康复训练,他已能在助行器辅助下行走。“要不是医院救得快,我这条命可能就没了。”王大叔握着医护人员的手感慨道。
夏季脑出血为何高发?四大“杀手”正在逼近
近期,我院神经外科接诊的脑出血患者较平日增加40%,其中60岁以上合并高血压的患者占比超80%。高温天气究竟如何成为“血管杀手”?
1. 血压过山车式波动
血管热胀冷缩:从酷暑的室外突然进入20℃的空调房,血管剧烈收缩,血压骤升。
脱水致血黏稠:高温天人体日均出汗超1000ml,若补水不足,血液黏稠度增加30%,血栓风险陡增。
2. 血管脆性增加,弹性变差
长期高血压患者的血管壁本就脆弱,高温下血流动力学改变进一步加剧血管损伤,如同“老化的水管承受高压冲击”。
3. 基础病管理失控
擅自停药:部分患者误以为“夏季血压会自然下降”,自行减药或停药,导致血压反弹性升高。
饮食放纵:大排档、冰啤酒等夏季“标配”,暗藏高盐高脂陷阱,加速动脉硬化。
4. 生活节律紊乱
睡眠不足:闷热天气导致入睡困难,长期睡眠不足使血压调节中枢失衡。
情绪波动:高温易引发烦躁、焦虑,情绪激动时血压可瞬间升高50mmHg。
夏季护脑“五字诀”,远离脑出血威胁
结合临床经验,我院神经外科团队总结出夏季预防脑出血的实用策略:
1. 控血压:高血压患者每天监测血压,避免擅自停药,夏季血压波动时及时就医调整用药;
2. 巧补水:少量多次饮用温水,每天饮水量保持1500-2000ml,避免一次性猛灌;
3. 慎贪凉:空调温度控制在26℃左右,避免室内外温差超过8℃,从高温环境进入空调房时先在门口过渡3分钟;
4. 调作息:保证7-8小时睡眠,避免熬夜,午间可小憩30分钟;
5. 忌“冰火两重天”:减少冷饮、冰品摄入,避免从高温环境突然进入低温场所,出汗后先擦干再吹风扇或空调。
若出现突发头痛、呕吐、肢体麻木无力、言语不清、视物模糊、意识障碍等症状,务必牢记“FAST原则”:Face(面部歪斜)、Arm(肢体无力)、Speech(言语不清)、Time(立即就医),黄金救治时间窗为发病后4.5小时内。对于脑出血病人来说,时间就是大脑,时间就是生命。